Contributor: Michael Hunt, MD
Educational Pearls:
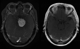
- Contrast agents are commonly used for X-rays and CT's to better characterize disease, but contrast doesn't work with MRI. That's where the element Gadolinium comes into play.
- Gadolinium, element 64, is ferromagnetic (attracted to iron) below 68 degrees and above that temperature it's paramagnetic which makes it useful in MRI (Magnetic Resonance Imaging).
- Gadolinium is toxic alone, but when paired with chelators it can be used in humans and allows for better characterization of tumors or abnormal tissue on MRI.
- It helps identify this abnormal tissue because when MRI causes polarization of our body's cells, the gadolinium, which has the maximum number of unpaired electrons in its orbital shells, alters the rate of decay in abnormal tissue highlighting abnormalities on imaging.
- Gadolinium can also be used in the treatment of cancers because it collects in the cells of abnormal tissue, allowing for more targeted therapies.
- In people exposed to gadolinium, the anaphylaxis rate is low, below 1/1000, and in rare cases there are reports of kidney injury and nephrogenic systemic fibrosis which is why it's not recommended in renal failure patients.
References
1)Ibrahim MA, Hazhirkarzar B, Dublin AB. Magnetic Resonance Imaging (MRI) Gadolinium. [Updated 2020 Mar 9]. In: StatPearls [Internet]. Treasure Island (FL): StatPearls Publishing; 2020 Jan-. Available from: https://www.ncbi.nlm.nih.gov/books/NBK482487/
2)Pasquini L, Napolitano A, Visconti E, et al. Gadolinium-Based Contrast Agent-Related Toxicities [published correction appears in CNS Drugs. 2018 May 15;:]. CNS Drugs. 2018;32(3):229-240. doi:10.1007/s40263-018-0500-1
Summarized by Jackson Roos, MS4 | Edited by Erik Verzemnieks, MD