Loading...
Loading...

Contributor: Aaron Lessen, MD
Educational Pearls:
References
Mora-López L, Ruiz-Edo N, Estrada-Ferrer O, et al. Efficacy and Safety of Nonantibiotic Outpatient Treatment in Mild Acute Diverticulitis (DINAMO-study): A Multicentre, Randomised, Open-label, Noninferiority Trial. Ann Surg. 2021;274(5):e435-e442. doi:10.1097/SLA.0000000000005031
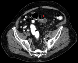
*Image from Hellerhoff, CC BY-SA 3.0 <https://creativecommons.org/licenses/by-sa/3.0>, via Wikimedia Commons
Summarized by John Spartz, MS4 | Edited by Erik Verzemnieks, MD
The Emergency Medical Minute is excited to announce that we are now offering AMA PRA Category 1 credits™ via online course modules. To access these and for more information, visit our website at https://emergencymedicalminute.org/cme-courses/ and create an account.
No transcript available for this episode.